logo
  • Home
  • FAQ
  • ☰
  1. Knowledge Base
  2. Pathological Processes in MRI
  3. Ischemia
Ischemia
7 Aug, 2025
Pathological Processes in MRI

Cerebral ischemia occurs when there isn’t sufficient blood flow to the brain to meet its metabolic needs.

Usually, it occurs as a result of either global cerebral hypoperfusion or a vascular territory lack of blood supply (stroke).

There are 2 types of strokes: ischemic (a blood clot blocking an artery) and hemorrhagic (an artery rupture that results in bleeding (see link for hemorrhage).

In general, ischemia causes cytotoxic cerebral edema which can be best evaluated with a combination of T2 and DWI.

If the infarct is located near the ventricles or the cortex, FLAIR (dark CSF) may be favoured over T2 (hyperintense CSF), because it allows better contrast between CSF and the lesion.

  • Ischemic stroke
    • Ischemic strokes make up around 90% of all strokes and are usually caused by sudden vascular occlusions secondary to thromboemboli.
    • Patients suffering from ischemic stroke usually present with focal neurological deficits.
    • Initial workup involves a non-contrast CT of the head—which could look completely normal if the infarct is less than 3 hours old! Followed immediately by a CTA to assess the vessels.
    • Clinical tidbit: The purpose of the initial non-contrast CT is to rule out hemorrhage, which will guide management by allowing doctors to prescribe thrombolytic therapy.
    • In acute ischemic strokes, changes on imaging usually take time to appear.
    • Although MRI is not the imaging modality of choice for acute stroke in most Canadian centers (lack of availability and longer time to scan), it can rapidly and accurately characterize the infarct.
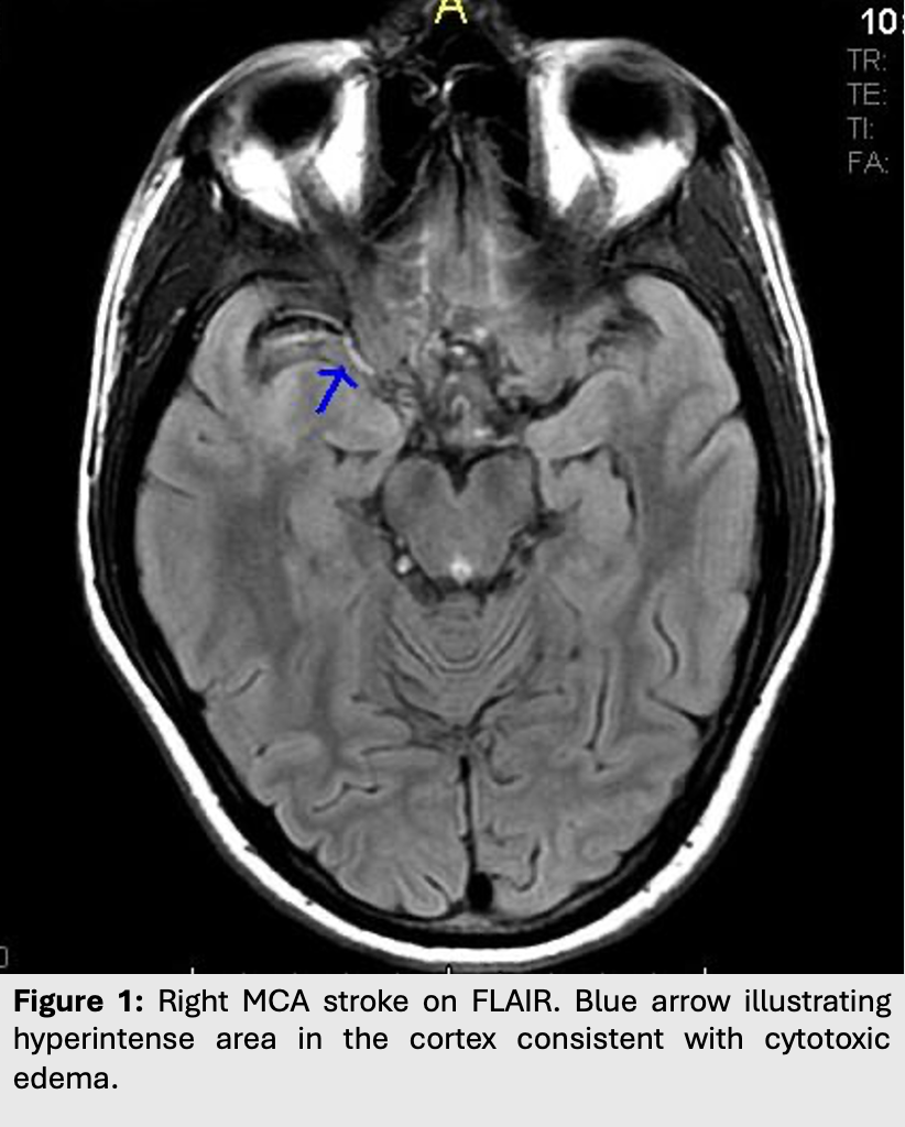
    • Cortical edema takes at least 3 hours before it can be seen on T2/FLAIR (hyperintense with cortical thickening and loss of grey-white junction differentiation).
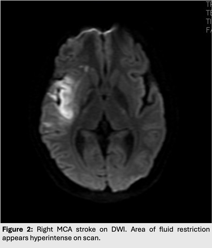
    • However, it only takes between 10 to 60 minutes for and acute MCA infarct to be seen on DWI.


    Figure 1: Right MCA stroke on FLAIR. Blue arrow illustrating hyperintense area in the cortex consistent with cytotoxic edema.


    Figure 2: Right MCA stroke on DWI. Area of fluid restriction appears hyperintense on scan.



    • Global cerebral hypoperfusion
      • Global cerebral hypoperfusion occurs when there is an overall decrease in cerebral perfusion, which can result from systemic causes such as hypotension and shock or it can be a result of increased intracranial pressure (increased ICP decreases cerebral perfusion pressure).
      • Often times, systemic causes of hypoperfusion are worsened by severe stenosis or atherosclerotic occlusion of the carotid or major cerebral arteries to cause ischemia.
      • In these scenarios, the first areas of the brain to suffer from ischemia will be those furthest away from major arteries.
      • Infarcts of this kind are called watershed or border zone infarcts as they happen on the borders of major vascular territories.

    Figure 3: Major cerebral vascular territories and border zones.


    Figure 4: Cortical versus internal border zone appearances. Classically, internal watershed infarcts present as a “string of pearls” whereas external watershed infarcts have a wedge like appearance and involves the cortex.


    Figure 5: Classic "string of pearls" appearance of an internal watershed infarct on FLAIR.


    Figure 6: Internal watershed infarct on DWI- notice that enhancement is present given that infarcts result in cytotoxic edema, which show restricted diffusion.

Previous
Next
About

Brain Imaging Essentials is an educational project launched by the students of the La Piana lab aiming to make brain MRIs more accessible for students around the world!

We've created simple, digestible content that will help learners develop a basic understanding of the clinical and research relevance of different kinds of neuroimaging, as well as an approach to brain MRI.

Join our mailing list iby scanning this QR code f you want to stay tuned for new updates and events!

Contact Us

Interested in our research or future collaborations?

Please contact Joyce Li at joyce.li2@mail.mcgill.ca or Dr. La Piana by email at roberta.lapiana@mcgill.ca

Copyright © 2025 Joyce Li