logo
  • Home
  • FAQ
  • ☰
  1. Knowledge Base
  2. Pathological Processes in MRI
  3. Edema
Edema
7 Aug, 2025
Pathological Processes in MRI

Cerebral edema refers to the abnormal accumulation of fluid in brain tissue. As such, it generally presents as hyperintense on T2/FLAIR sequences.

Cerebral edema can occur in many pathologies, including cerebral tumors, abscesses, infarcts, etc., and is often divided into two main categories: cytotoxic and vasogenic edema.

Cytotoxic Edema

Cytotoxic edema occurs in situations where the blood brain barrier is intact.

Edema results from shifts of fluid into cells, most often as a result of membrane pump failures following cell death in the case of ischemia or infarcts.

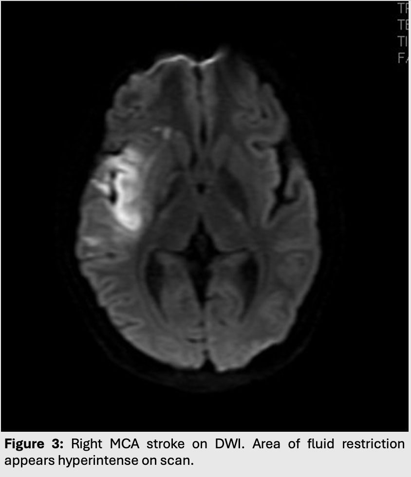
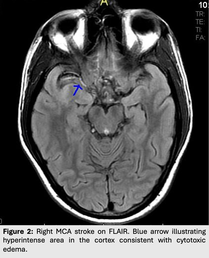
This leads to edema with restriction of water diffusion. As such, cytotoxic edema will appear hyperintense on both T2/FLAIR and on DWI.

This type of edema is most commonly seen in strokes or ischemic syndromes.

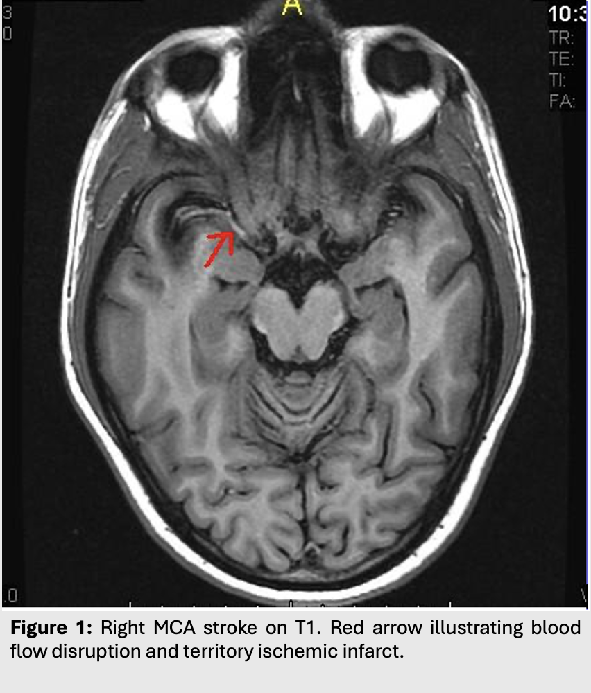
Figure 1: Right MCA stroke on T1. Red arrow illustrating blood flow disruption and territory ischemic infarct.


Figure 2: Right MCA stroke on FLAIR. Blue arrow illustrating hyperintense area in the cortex consistent with cytotoxic edema.


Figure 3: Right MCA stroke on DWI. Area of fluid restriction appears hyperintense on scan.



Vasogenic edema

Contrary to cytotoxic edema, vasogenic edema occurs in situations where the blood brain barriers is disrupted.

Edema is extracellular and usually results from fluid leakage out the capillaries into the surrounding white matter.

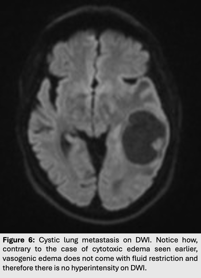
This shows up as edema without diffusion restriction.

As such, vasogenic edema will appear hyperintense on T2/FLAIR but attenuated (hypointense) on DWI.

Vasogenic edema can be caused by many pathologies. Most commonly, it can be found surrounding intra-axial tumors, cerebral abscesses or even around maturing hemorrhages.

If the edema is extensive and bilateral, it might be secondary to posterior reversible encephalopathy syndrome.


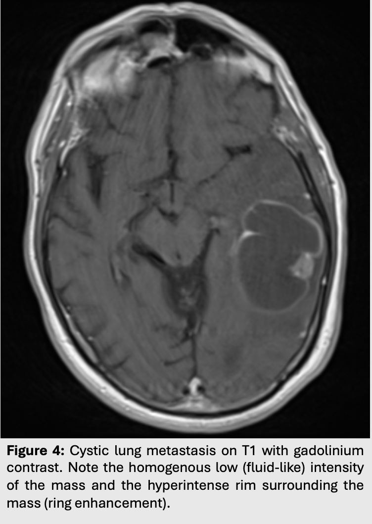
Figure 4: Cystic lung metastasis on T1 with gadolinium contrast. Note the homogenous low (fluid-like) intensity of the mass and the hyperintense rim surrounding the mass (ring enhancement).


Figure 5: Cystic lung metastasis on T2. Note the extensive edema appearing as hyperintense parenchyma surrounding the mass. The cystic mass also appears hyperintense given that it is fluid filled.


Figure 6: Cystic lung metastasis on DWI. Notice how, contrary to the case of cytotoxic edema seen earlier, vasogenic edema does not come with fluid restriction and therefore there is no hyperintensity on DWI.


More about cytotoxic edema.

More about vasogenic edema.

Previous
Next
About

Brain Imaging Essentials is an educational project launched by the students of the La Piana lab aiming to make brain MRIs more accessible for students around the world!

We've created simple, digestible content that will help learners develop a basic understanding of the clinical and research relevance of different kinds of neuroimaging, as well as an approach to brain MRI.

Join our mailing list iby scanning this QR code f you want to stay tuned for new updates and events!

Contact Us

Interested in our research or future collaborations?

Please contact Joyce Li at joyce.li2@mail.mcgill.ca or Dr. La Piana by email at roberta.lapiana@mcgill.ca

Copyright © 2025 Joyce Li